2-Hour CE Webinar Apr 16 | Mitochondrial Dysfunction, Cell Danger Response, and Chronic Inflammation
March 19, 2026 ~ 1pm-3pm
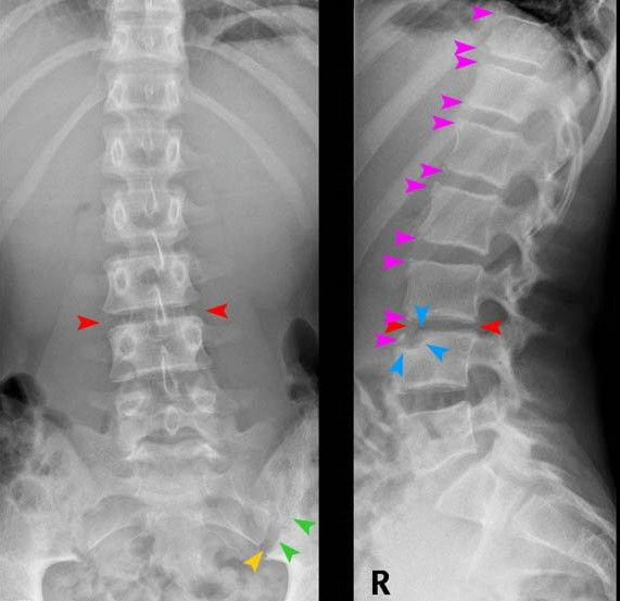
Clinical Radiology Rounds II
Sharpen your skeletal imaging skills with real-world cases—build confidence in diagnosing complex bone conditions alongside peers.
• 📅 March 19, 2026 ~ 1pm-3pm
• 👨⚕️ Instructed by Dr. Marshall Deltoff DC, DACBR, FCCR(C)
• 💲 Get 2 CE hours for only $29.00

$29.00
2 CE Credits
This event is no longer available for registration.
Credit Hours
2 CE Hours
Date & Time
March 19, 2026 ~ 1pm-3pm
Format
Recording Available
Webinar Overview
Master the complexities of skeletal imaging in this intensive, two-hour interactive webinar designed for clinicians seeking to sharpen their diagnostic accuracy. Moving beyond basic identification, this session utilizes a deep-dive, case-based approach to explore the nuanced radiographic hallmarks of various osteo-pathologies. Participants will gain practical strategies for differentiating between look-alike conditions across six critical categories: congenital and developmental anomalies, diverse arthritides, complex trauma, neoplastic processes, skeletal infections, and metabolic disorders. By focusing on "real-world" film interpretation, the course ensures you walk away with immediate, actionable clinical reasoning skills.This isn't a passive lecture; it is an inquiry-based workshop where your expertise is a vital part of the curriculum. Attendees are encouraged to actively participate in live sessions, contributing to differential diagnosis discussions and collaborative problem-solving. Whether you are looking to refine your systematic approach to zones of transition or better identify the subtle skeletal manifestations of endocrine imbalances, this webinar provides a dynamic platform to engage with peers and elevate your radiographic proficiency.
What You'll Learn
- Distinguish key features of skeletal pathologies
- Differentiate arthritides on radiographs
- Identify subtle congenital bone anomalies
- Spot early signs of skeletal infection
- Apply systematic film review for trauma
Why Choose ProCredits Webinars
ProCredits makes earning your continuing education credits simple, convenient, and valuable for your practice.
State Approved
All courses are approved by PACE, Life, and/or CE Broker for your state requirements.
Learn At Your Pace
On-demand access means you can complete your CE hours whenever it fits your schedule.
Instant Certificate
Download your certificate immediately upon course completion. We also report to CE Broker.
Expert Instructors
Learn from practicing chiropractors and healthcare professionals with real-world expertise.
Frequently Asked Questions
Have questions? We've got answers. If you don't see what you're looking for, contact our support team.
After completing your purchase, you'll have immediate access to the course through your dashboard. Simply log in, go to "My Courses," and click on the course to begin. You can start, stop, and resume at any time.
Once you complete a course and pass the assessment, your certificate is automatically generated and available in your dashboard. You can download and print it at any time.
A recording of the webinar will be available within 24-48 hours after the live session ends. You'll have access to this recording and can complete your CE requirements at your convenience.
No, attendees are not required to be on camera. You can view the presentation and participate via the chat feature if you have questions for the instructor.
If you haven't started the course, we offer a full refund within 7 days of purchase. Once you've begun watching the content or taken the quiz, refunds are evaluated on a case-by-case basis. Contact support for assistance.
Our support team is here to help! Contact us at info@procredits.com or use the Support page in your dashboard. We typically respond within 24 hours on business days.
More Webinars

Mitochondrial Dysfunction, Cell Danger Response, and Chronic Inflammation: A Functional & Clinical Approach
This 2-hour live webinar delivers a clinically grounded, functional medicine–based exploration of mi...

NeuroKinetic Fascial Integration of the Spine and Extremities
The Neurokinetic Fascial Integration (NKFI) of the Spine and Extremities seminar is a hands-on progr...
Upcoming Webinars
Join live interactive sessions with expert instructors. Earn CE credits from the comfort of your home or office.
