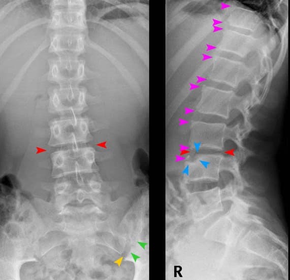
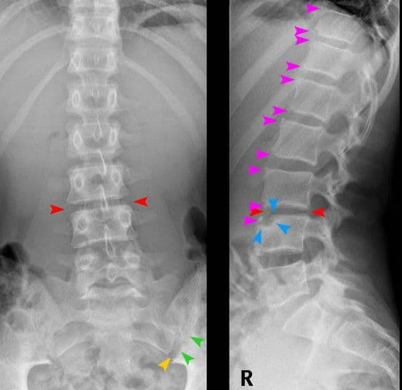
2-Hour CE Webinar Apr 16 | Mitochondrial Dysfunction, Cell Danger Response, and Chronic Inflammation


Dr. Marshall Deltoff DC, DACBR, FCCR(C)
DC, DACBR, FCCR(C)
Expert in chiropractic radiology with 30+ years in academia, clinical practice, and regulation, co-authored key textbooks.
About
Marshall Deltoff DC, DACBR, FCCR(C) graduated with honors from the Canadian Memorial Chiropractic College in Toronto. He has over 30 years of academic, clinical and regulatory experience, having performed and read over 140,000 plain film x-ray examinations. He is the co-author of The Portable Skeletal X-Ray Library, a textbook of radiological bone diseases, as well as several book chapters, manuscripts and research papers and was selected to assist Yochum, T. & Rowe, L. in the final editorial process of textbook: “Essentials of Skeletal Radiology”. Dr. Deltoff has served as the President of the College of Chiropractors of Ontario, the regulatory body for over 5,000 DCs in that province. Currently, he is Professor of Radiology at Barcelona College of Chiropractic, and manages Images Radiology Consultants, an online x-ray reporting service for colleagues worldwide.






